AB-Abdomen ARDMS Abdomen Sonography Examination Free Practice Exam Questions (2026 Updated)
Prepare effectively for your ARDMS AB-Abdomen Abdomen Sonography Examination certification with our extensive collection of free, high-quality practice questions. Each question is designed to mirror the actual exam format and objectives, complete with comprehensive answers and detailed explanations. Our materials are regularly updated for 2026, ensuring you have the most current resources to build confidence and succeed on your first attempt.
Which portion of the biliary system is last to become dilated with biliary obstruction at the ampulla of Vater?
Which organ is held in place by the lienorenal, gastrosplenic, and phrenocolic ligaments?
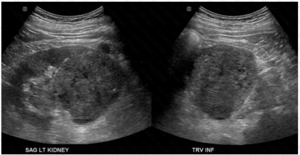
Which condition of the transplant kidney is indicated by the arrows on these images?


Which abnormality is depicted in this image of a patient who presents with a fever following a liver biopsy?

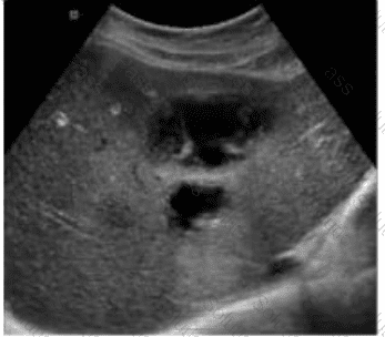
Which condition is demonstrated in this image?

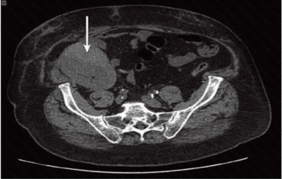
Which diagnosis is most accurate based on the findings in this image from an adult patient?

Which description best characterizes a normal systolic spectral waveform of the renal artery?
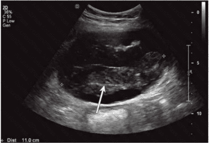
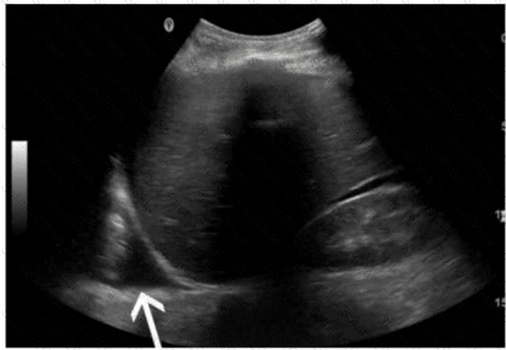
Which finding is indicated by the arrow in this image of the right upper quadrant?

Which complication is of greatest concern with undescended testis?
Which condition is characterized by abnormal dilatation of veins of the pampiniform plexus and most commonly affects the left testicle?
A lactating female presents with a tender, swollen breast, erythema, and fever. Which condition is most likely present in this image?

Which sonographic feature is typical of a thyroid adenoma?
Which measurement is the upper limit for a normal gallbladder wall?
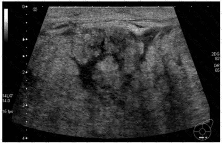
Which condition is most consistent with the findings in this image?

Which condition is most likely to develop after splenic trauma?
A patient presents with ampulla of Vater obstruction, distention of the gallbladder, and painless jaundice. Which condition is most likely associated with these findings?
Which condition is most likely depicted in this image?

During a renal artery Doppler study, which vessel should also be sampled to verify patency?
Which condition is most consistent with this image of a postsurgical breast?

Which congenital anomaly is demonstrated in this image?
