AB-Abdomen ARDMS Abdomen Sonography Examination Free Practice Exam Questions (2026 Updated)
Prepare effectively for your ARDMS AB-Abdomen Abdomen Sonography Examination certification with our extensive collection of free, high-quality practice questions. Each question is designed to mirror the actual exam format and objectives, complete with comprehensive answers and detailed explanations. Our materials are regularly updated for 2026, ensuring you have the most current resources to build confidence and succeed on your first attempt.
Which type of hernia is located medial to the inferior epigastric artery?
Which of the following must be sterile for a percutaneous procedure?
Which finding is demonstrated in this image?

Which renal finding is often present in patients with tuberous sclerosis?
Which congenital disorder is most consistent with the finding identified by the arrow on this image?

Which condition is associated with multiple pancreatic cysts?
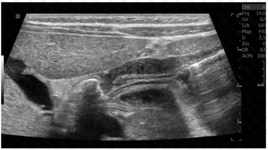
Which clinical finding is most likely associated with the pathology in this image?

Which liver neoplasm is associated with use of oral contraceptives and is most often seen in women under the age of 40?
Which of the following is a possible early complication of a renal transplant?
Which clinical indication is most consistent with the finding depicted in this image?

Which structure is indicated by the arrow on this image?

Which laboratory value stays elevated longest and is considered the most reliable in diagnosing pancreatitis?
Which imaging technique best demonstrates ureteral patency?
Which scanning technique would best reduce reverberation artifact when assessing the gallbladder?
Which foreign body is better visualized with sonography than computed tomography (CT)?
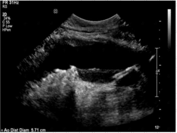
Which action should a sonographer take if the abdominal aorta measures 5.5 centimeters in the anteroposterior diameter?
Which condition is most likely in a patient presenting with weight loss and fatigue along with elevated liver enzymes, elevated potassium, and decreased sodium?
Which sonographic finding is most consistent with this image of the abdominal aorta?

Which lymph node shape is concerning for malignancy in the post-thyroidectomy neck?
Which characteristic is associated with complex pleural effusion?