AB-Abdomen ARDMS Abdomen Sonography Examination Free Practice Exam Questions (2026 Updated)
Prepare effectively for your ARDMS AB-Abdomen Abdomen Sonography Examination certification with our extensive collection of free, high-quality practice questions. Each question is designed to mirror the actual exam format and objectives, complete with comprehensive answers and detailed explanations. Our materials are regularly updated for 2026, ensuring you have the most current resources to build confidence and succeed on your first attempt.
Which finding is an indication for renal biopsy to assess for renal failure?
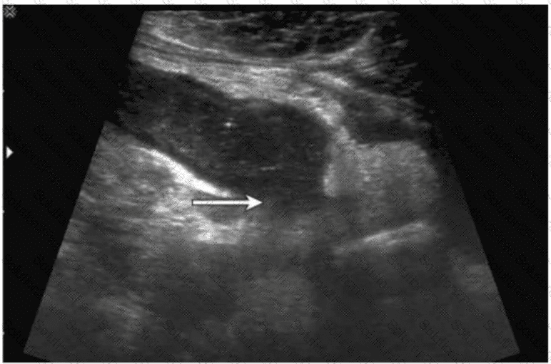
A patient presents with right lower quadrant pain and fever. Which condition is most likely indicated by the arrow on this image?

Which vascular condition is most commonly associated with a wandering spleen?
Which complication would be associated with retroperitoneal fibrosis?
Which congenital anomaly is characterized by the failure of the dorsal and ventral pancreatic buds to fuse?
What is the location of the left lobe of the thyroid gland?
Which normal anatomical structure is also known as the accessory pancreatic duct?
Which condition is a cause of intrahepatic dilatation with a normal common bile duct?
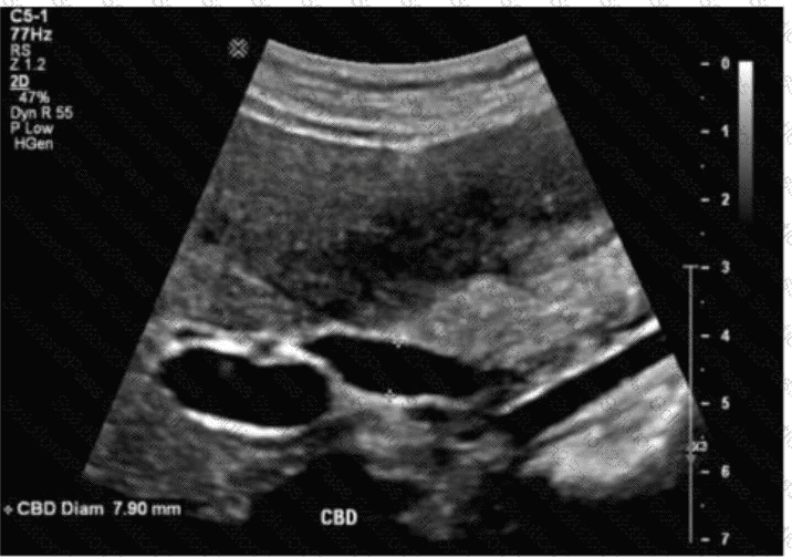
Which term best describes the common bile duct measured in this image of a postcholecystectomy patient?
