AE-Adult-Echocardiography ARDMS AE Adult Echocardiography Examination Free Practice Exam Questions (2026 Updated)
Prepare effectively for your ARDMS AE-Adult-Echocardiography AE Adult Echocardiography Examination certification with our extensive collection of free, high-quality practice questions. Each question is designed to mirror the actual exam format and objectives, complete with comprehensive answers and detailed explanations. Our materials are regularly updated for 2026, ensuring you have the most current resources to build confidence and succeed on your first attempt.
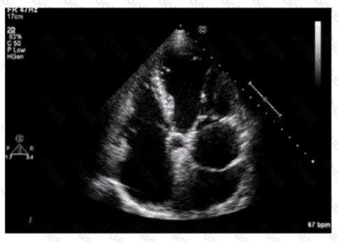
Which finding is shown in this image?
