AE-Adult-Echocardiography ARDMS AE Adult Echocardiography Examination Free Practice Exam Questions (2026 Updated)
Prepare effectively for your ARDMS AE-Adult-Echocardiography AE Adult Echocardiography Examination certification with our extensive collection of free, high-quality practice questions. Each question is designed to mirror the actual exam format and objectives, complete with comprehensive answers and detailed explanations. Our materials are regularly updated for 2026, ensuring you have the most current resources to build confidence and succeed on your first attempt.
Which condition is most likely suggested by an apically sparing "cherry on top" left ventricular strain pattern?
In cardiac tamponade, how do transvalvular pressure gradients change during expiration?
What potential source of error is the greatest when calculating the aortic valve area by the continuity equation?
Left atrial dilation, concentric left ventricular hypertrophy, and aortic root dilation are echocardiography findings commonly associated with which condition?
Which finding is most commonly associated with Ebstein anomaly?
Which structure is the arrow pointing to in this video?

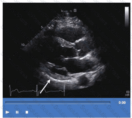
Which wall is indicated by the arrow on this video?

What is indicated by the arrow on this video clip?
Which Doppler signal is used to calculate the pulmonary artery end-diastolic pressure gradient?
What does the Qp represent in an atrial septal defect shunt ratio measurement (Qp/Qs)?
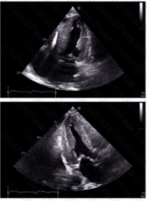
Which diagnosis is most consistent with the findings in these images?


Which condition is most likely demonstrated by this M-mode image?

Which maneuver aids in uncovering potential diastolic dysfunction while performing pulsed wave Doppler of the mitral valve?
Which procedure is most appropriate for evaluation of an atrial septal defect in the presence of an atrial septal aneurysm?
Which sonographic views allow visualization of a patent ductus arteriosus (PDA)?
Which method is appropriate for measuring the left atrial diameter in parasternal long axis?
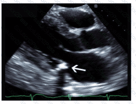
Which echogenic structure is indicated by the arrow on this image?

Which view best demonstrates a wall thickening abnormality of the apical lateral segment?
Which diagnosis is most likely confirmed by echocardiography in a 65-year-old female presenting with new onset chest pain associated with ST segment elevation on the electrocardiogram and angiographically normal coronary artenes?
Which parameter is expected to increase in the presence of cardiac tamponade?