Cyber Monday Sale Special - Limited Time 70% Discount Offer - Ends in 0d 00h 00m 00s - Coupon code: xmaspas7

Easiest Solution 2 Pass Your Certification Exams

SPI ARDMS Sonography Principles and Instrumentation Free Practice Exam Questions (2025 Updated)

Prepare effectively for your ARDMS SPI Sonography Principles and Instrumentation certification with our extensive collection of free, high-quality practice questions. Each question is designed to mirror the actual exam format and objectives, complete with comprehensive answers and detailed explanations. Our materials are regularly updated for 2025, ensuring you have the most current resources to build confidence and succeed on your first attempt.

Page: 2 / 3
Total 187 questions

Which Doppler control adjustment could eliminate the end-diastolic velocity in the Doppler spectrum?

A.

Increased Doppler gain

B.

Increased packet size

C.

Increased velocity scale

D.

Increased wall filter

While imaging at a depth of 2 cm, which adjustment would improve the axial resolution?

A.

Turn off spatial compounding

B.

Turn on harmonics

C.

Decrease gain

D.

Increase frequency

Which factor determines elevational resolution?

A.

Beam depth

B.

Beam thickness

C.

Beam uniformity ratio

D.

Beam width

What parameter change reduces spectral Doppler aliasing?

A.

Increase Doppler angle

B.

Change color scale

C.

Decrease pulse repetition frequency

D.

Utilize m-mode

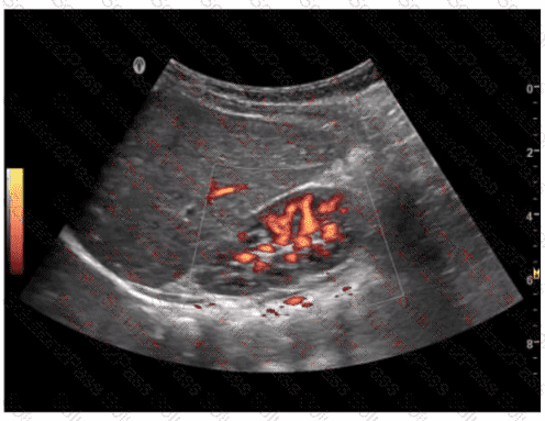
What does this image demonstrate?

A.

Presence of flow

B.

Direction of flow

C.

Color aliasing

D.

Color inversion

Which situation can cause color Doppler noise to overwrite an anechoic or hypoechoic area?

A.

Color packet size set too low

B.

Color pulse repetition frequency (PRF) set too high

C.

Color priority set too low

D.

Color gain set too high

Which factor influences color flow imaging frame rate?

A.

Filter selection

B.

Dynamic range

C.

Line density

D.

Variance map selection

Which setting improves temporal resolution?

A.

Wide sector size

B.

Increased depth

C.

Multiple focal zones

D.

Low line density

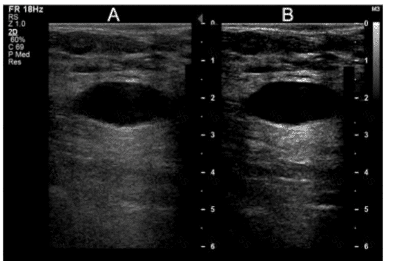
The calipers in this image measure which performance characteristic of a system?

A.

Depth measurement accuracy

B.

Dynamic range

C.

Axial resolution

D.

Lateral resolution

What does damping in a pulsed-wave transducer affect?

A.

Pulse duration

B.

Pulse repetition frequency

C.

Beam focus

D.

Beam penetration

What are two types of cavitation in tissue?

A.

Heat and transient

B.

Thermal and mechanical

C.

Stable and transient

D.

Thermal and stable

Which ultrasound adjustment allows for an increased frame rate in color flow Doppler?

A.

Using continuous wave Doppler

B.

Decreasing depth

C.

Using multiple focal zones

D.

Increasing sector scan width

Which setting can be increased to correct for clutter artifact when using pulsed-wave Doppler?

A.

Sample volume

B.

Doppler gain

C.

Wall filter

D.

Pulse repetition frequency (PRF)

Which artifact results from decreased attenuation?

A.

Comet tail

B.

Enhancement

C.

Ringdown

D.

Reverberation

Which factor causes posterior acoustic enhancement?

A.

High-frequency transducer

B.

Low-frequency transducer

C.

Strongly attenuating structure

D.

Weakly attenuating structure

Which target group in this image of a tissue-mimicking phantom is used to evaluate axial resolution?

A.

Option A

B.

Option B

C.

Option C

D.

Option D

Which color Doppler setting can be optimized to eliminate low-frequency Doppler shifts without having any effect on higher Doppler frequency shifts?

A.

Gain

B.

Scale

C.

Wall filter

D.

Persistence

Which outcome is an advantage of more pulses in an ensemble length?

A.

Reduced ghosting artifact

B.

Increased accuracy of velocity measurement

C.

Improved temporal resolution

D.

Increased line density

In addition to velocity, which factor affects acoustic impedance?

A.

Penetration depth

B.

Attenuation coefficient

C.

Tissue density

D.

Transducer frequency

What is the primary reason lateral resolution varies at different depths?

A.

Beam width

B.

Pulse length

C.

Tissue texture

D.

Acoustic impedance

Page: 2 / 3
Total 187 questions
Copyright © 2014-2025 Solution2Pass. All Rights Reserved