Cyber Monday Sale Special - Limited Time 70% Discount Offer - Ends in 0d 00h 00m 00s - Coupon code: xmaspas7

Easiest Solution 2 Pass Your Certification Exams

SPI ARDMS Sonography Principles and Instrumentation Free Practice Exam Questions (2025 Updated)

Prepare effectively for your ARDMS SPI Sonography Principles and Instrumentation certification with our extensive collection of free, high-quality practice questions. Each question is designed to mirror the actual exam format and objectives, complete with comprehensive answers and detailed explanations. Our materials are regularly updated for 2025, ensuring you have the most current resources to build confidence and succeed on your first attempt.

Page: 1 / 3
Total 187 questions

Which factor will improve axial resolution?

A.

Increasing the focal zone

B.

Reducing the number of cycles per pulse

C.

Changing the gray-scale map

D.

Decreasing the frame rate

How can spectral Doppler cross talk be reduced?

A.

By decreasing the Doppler gain

B.

By increasing the Doppler pulse repetition frequency (PRF)

C.

By adjusting the Doppler baseline

D.

By decreasing the Doppler wall filter

What is the purpose of applying compression to the received signals?

A.

Decrease the frame rate

B.

Decrease the spatial pulse length

C.

Reduce the field of view

D.

Reduce the dynamic range

What does changing the displayed depth control directly affect?

A.

Pulse repetition frequency

B.

Transducer transmit frequency

C.

Pulse duration

D.

Spatial pulse length

Which technique averages individual frames together to improve the image?

A.

Coded excitation

B.

Compression

C.

Persistence

D.

Harmonic imaging

What does compression affect in the ultrasound image?

A.

The number of lines displayed

B.

The shades of gray displayed

C.

The temporal resolution

D.

The elevational resolution

Which pulsed-wave Doppler adjustment would be appropriate to correct the aliasing seen in this image?

A.

Increase the spectral Doppler gain.

B.

Decrease the spectral Doppler gain.

C.

Increase the Doppler pulse repetition frequency.

D.

Decrease the Doppler pulse repetition frequency.

What is the function of M-mode?

A.

Create 3D images

B.

Visualize internal organs

C.

Monitor blood flow

D.

Measure movement

Which factor does a string phantom evaluate?

A.

Two-dimensional resolution

B.

Intensity values

C.

Flow velocity

D.

Slice thickness

What is true regarding the display for color Doppler?

A.

A positive shift is always above the baseline

B.

A positive shift is always red

C.

A negative shift is always venous flow

D.

A negative shift always requires using a lower wall filter

Which characteristics are associated with an ideal imaging transducer?

A.

Narrow bandwidth; high quality factor

B.

Broad bandwidth; low quality factor

C.

Narrow bandwidth; low quality factor

D.

Broad bandwidth; high quality factor

What would increase with an increase in acoustic power?

A.

Frequency

B.

Impedance

C.

Thermal Index

D.

Wavelength

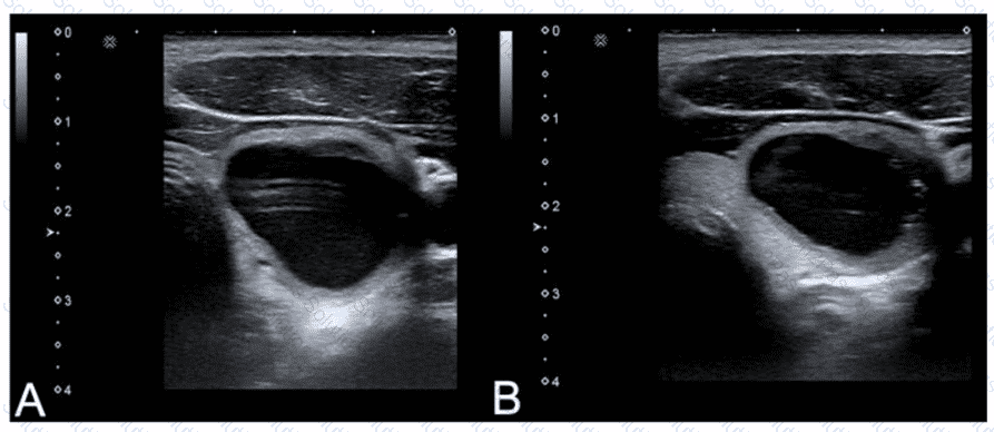
Which adjustment will reduce the artifact in the cystic lesion in image A resulting in image B?

A.

Turn off harmonics

B.

Increase dynamic range

C.

Turn on edge enhancement

Which color Doppler control allows for reassignment of red and blue to represent flow direction?

A.

Color priority

B.

Color gain

C.

Color threshold

D.

Color invert

Which situation occurs when the incident angle of a sound beam is adjusted to be perpendicular to a soft tissue interface?

A.

Range ambiguity

B.

Refraction

C.

Cavitation

D.

Reflection

Which change would lead to a reduction in frame rate?

A.

Increasing the number of focal zones

B.

Increasing the pulse repetition frequency (PRF)

C.

Decreasing the depth

D.

Decreasing the sector width

Which artifact causes a reflector to be improperly positioned on the display?

A.

Acoustic shadowing

B.

Speckle

C.

Enhancement

D.

Range ambiguity

What is the result of increasing the wall filter setting during Doppler sampling?

A.

Diminished aliasing

B.

Decreased bandwidth

C.

Creation of spectral broadening

D.

Reduced display of low-frequency shifts

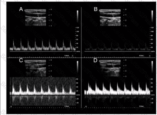
Which image demonstrates appropriate spectral Doppler gain?

A.

Option A

B.

Option B

C.

Option C

D.

Option D

Which factor has a positive effect on temporal resolution?

A.

Increase in scan depth

B.

Use of spatial compounding

C.

Increase in number of focal zones

D.

Use of narrow sector width

Page: 1 / 3
Total 187 questions
Copyright © 2014-2025 Solution2Pass. All Rights Reserved